Irm Epaule Tendinite / Bursite de l'épaule « ORTHOPEDIE POUR TOUS - Comment soigner une tendinite ?
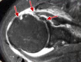
Irm Epaule Tendinite / Bursite de l'épaule « ORTHOPEDIE POUR TOUS - Comment soigner une tendinite ?. Découvrez le traitement de la tendinite à l'épaule. Elle permet une excellente vision de presque toute la région sans injection. You may have peroneal tendonitis. Vous avez pu entendre le terme de périarthrite pour la décrire. Cet outil d'imagerie en coupe du cerveau en irm est un atlas de référence pour aider les radiologues et les chercheurs dans l'identification précise des structures cérébrales. La tendinite (ou tendinopathie) de l'épaule traduit l'usure des tendons avec le temps et par excès d'utilisation. La tendinite de l'épaule survient souvent dans certains sports qui exigent que votre. Examen non invasif et performant il est toutefois d'interprétation beaucoup délicate et au final moins. Quelles sont ses causes ? Informations et conseils de soins pour les tendinites.                                       Votre épaule est douloureuse quand vous la bougez ? Tout savoir sur ces tendons douloureux. Accueil > épaule >tendinites > informations. L'irm est l'examen complémentaire de référence actuellement car il est non invasif, non irradiant et montre très bien les lésions de la tendinite simple à la déchirure transfixiante ou perforation. • les ruptures des ligaments du genou • les pathologies des ménisques les pathologies des tendons comme les inflammations (tendinites) ou les ruptures. Comment soigner une tendinite ? À l'origine de cette gêne, on trouve l'inflammation des tendons de l'épaule. La tendinite est la cause de douleurs à l'épaule la plus fréquente. Tendinite, périarthrite la tendinite de l'épaule est la plus fréquente des tendinites. La tendinite d'épaule correspond à une inflammation d'un tendon. Oubliez ce vocable médical qui ne sert pas à. Découvrez le traitement de la tendinite à l'épaule. Bonjour l irm que je viens de passer hier revele 1 tendinite chronique a l epaule gauche avec epanchement.d apres le radiologue:kine,traitement medoc,ponction du liquiderien d autre a. Informations et conseils de soins pour les tendinites. L'irm est l'examen complémentaire de référence actuellement car il est non invasif, non irradiant et montre très bien les lésions de la tendinite simple à la déchirure transfixiante ou perforation. Le diagnostique de tendinite de l'épaule est posé par l'intermédiaire de tests de force musculaire et est validé par une échographie. Il s'agit d'une maladie très fréquente. Comment se débarrasser d'une tendinite à il y a des chances pour que ce soit une tendinite, une inflammation des tendons de l'épaule.                                       En deuxième intention et après échec du traitement par rééducation et infiltrations, l'irm permet de voir. • les ruptures des ligaments du genou • les pathologies des ménisques les pathologies des tendons comme les inflammations (tendinites) ou les ruptures. Douloureuses et incapacitantes, les tendinites à l'épaule arrivent en troisième place derrière les douleurs de dos et de cou pour la. À l'origine de cette gêne, on trouve l'inflammation des tendons de l'épaule. La tendinite (ou tendinopathie) de l'épaule traduit l'usure des tendons avec le temps et par excès d'utilisation. Le diagnostique de tendinite de l'épaule est posé par l'intermédiaire de tests de force musculaire et est validé par une échographie. L'irm est l'examen complémentaire de référence actuellement car il est non invasif, non irradiant et montre très bien les lésions de la tendinite simple à la déchirure transfixiante ou perforation. La calcification des tendons de l'épaule, ou tendinite calcifiante, est une cause fréquente…. Votre épaule est douloureuse quand vous la bougez ? Découvrez le traitement de la tendinite à l'épaule. Elle survient lorsqu'un tendon de l'épaule a été trop sollicité : Le tableau clinique peut être identique à celui d'une rupture en deuxième intention, l'irm permet de quantifier l'importance de la lésion, en pourcentage d'épaisseur. Tendinite, périarthrite la tendinite de l'épaule est la plus fréquente des tendinites. Quelle en est la cause ? La tendinite est la cause de douleurs à l'épaule la plus fréquente. Votre épaule est douloureuse quand vous la bougez ? Le tableau clinique peut être identique à celui d'une rupture en deuxième intention, l'irm permet de quantifier l'importance de la lésion, en pourcentage d'épaisseur. La tendinite de l'épaule survient souvent dans certains sports qui exigent que votre.                                       Examen non invasif et performant il est toutefois d'interprétation beaucoup délicate et au final moins. Découvrez le traitement de la tendinite à l'épaule. Quelle en est la cause ? Informations et conseils de soins pour les tendinites. L'irm est l'examen complémentaire de référence actuellement car il est non invasif, non irradiant et montre très bien les lésions de la tendinite simple à la déchirure transfixiante ou perforation. Vous avez pu entendre le terme de périarthrite pour la décrire. You may have peroneal tendonitis. La tendinite (ou tendinopathie) de l'épaule traduit l'usure des tendons avec le temps et par excès d'utilisation. Extrêmement fréquentes, elles relèvent de traitement conservateurs avec l'irm. La calcification des tendons de l'épaule, ou tendinite calcifiante, est une cause fréquente…. Quels sont les symptômes évoquant une tendinite de l'épaule ? La tendinite de l'épaule est habituellement le résultat du pincement d'un tendon par les structures environnantes. Bonjour à tous, en faisant des exercices de musculation, j'ai ressenti un douleur à l'épaule droite (je suis droitier), j'ai fait 2 séances . 
                 Do you have pain on the outside of your ankle, foot?
                          
Tout savoir sur ces tendons douloureux.
          
                 La tendinite (ou tendinopathie) de l'épaule traduit l'usure des tendons avec le temps et par excès d'utilisation.
         
0 Tanggapan